Half Century Knee And The Slight Bump Of A Car Upon It

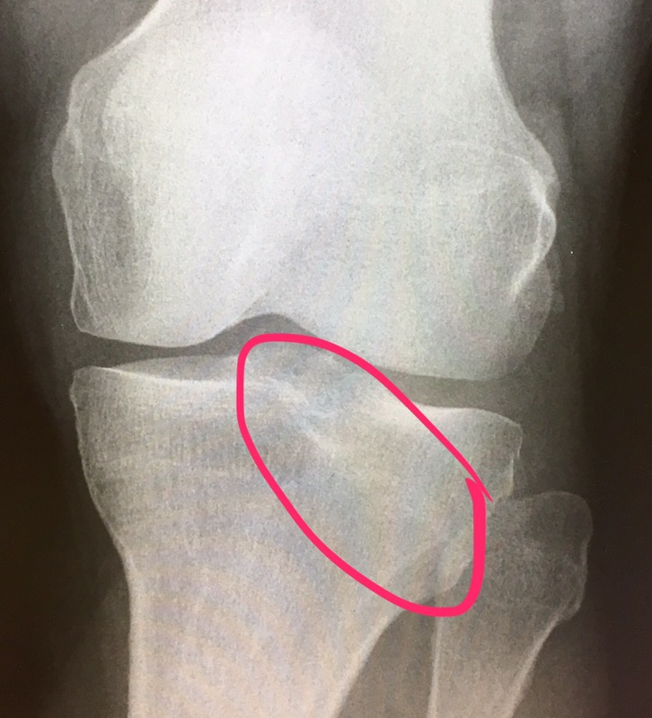
Got hit by van the other day. Can you believe it? The know-it-alls say that that line of distortion in the X-ray could (could!) be a tibial plateau fracture. Yea. The van hit my left knee.

Cool!

Update: It’s not a fracture. Whoopi. And get this, I get to get my first MRI so they can see whether my meniscus is damaged.

Seriously?

An MRI?

Hold on there a sec, chippy!

Between you and me, dear worst-reader, this whole health insurance coverage thingy that I’ve got over here (in Germania) that pays for all this great care is really, really over-kill. Knowing that the bone isn’t broke is enough to know that the swelling is caused by some slight meniscus damage. Ice packs, keeping leg still/braced for a couple of weeks will be the ultimate outcome with or without a corporate sponsoring MRI. But what do I know?

Rant & ride on.

-T

PS I’m too old for this $hit.

Leave a comment